少しでも患者さまにとって
より良い歯科医療を提供するため、
第三者機関に依頼して『ホワイトニング』の
患者さま満足度調査を行っています。
率直なご意見をいただき、改善すべき点は真摯に受け止めていきたいと思っております。
当院には患者さまの個人情報は一切伝えられませんので、
是非、暖かいお言葉、おしかりのお言葉、たくさんお寄せください。


Whitening

ホワイトニングとは、歯の黄ばみや歯の白さを取り戻すのに効果的な方法です。
毎日きちんと歯を磨いていても、加齢や食生活・喫煙などの影響により歯の色は変化していきます。
ホワイトニングは”削る・被せる”ことをしないで歯を白くしていく方法として、審美的に効果的な方法とされています。
Whitening coordinator

当院ではホワイトニングコーディネーターが在籍しています。
ホワイトニングコーディネーターとは、日本歯科審美学会が認定している専門資格です。ホワイトニングコーディネーターは歯科審美学やホワイトニングについて専門に勉強しているため、正しい知識に基づいて安全に施術をすることができます。
Type
※料金改定(2025年6月16日)の金額を掲載しております。詳細はこちらをご確認ください。
| 内容 | 料金 |
|---|---|
| オフィスホワイトニング | 1回 22,000円 2回 41,800円 3回 59,400円 |
オフィスホワイトニングとは、歯科医師・歯科衛生士が医院で施術を行うホワイトニングです。
オフィスホワイトニングの特徴は、薬剤を歯の表面に塗り光を照射することで歯を白くしていきます。短時間で効果が期待できることが特徴です。
当院は"オパールエッセンスBOOST"を使用しております。
オパールエッセンスBOOSTは、従来のオフィスホワイトニングと異なり、光の照射を必要としないという特徴があります。こうすることで、白さにムラがなくなるため、よりきれいな仕上がりになります。 また、20%以上の水分量を含むためエナメル質の脱水を防ぎ、知覚過敏が発生しにくくなっています。(個人差があります)

個人差はありますが、一回の施術で平均5段階程度、歯の色が白くなります。施術にかかる時間は1回/20〜30分程度です。
※上記の時間は薬材を塗布して浸透させる時間の目安です。
実際の診療には1時間程度のお時間をいただいております。
| 内容 | 料金 |
|---|---|
| ホームホワイトニング | 38,500円 |
ホームホワイトニングとはマウスピースと薬剤を使用し、ご自宅でも気軽にホワイトニングができる方法です。
医院にご来院する時間の確保が難しい方や気軽にホワイトニングをしたい方に
最適なホワイトニングです。
マウスピースに薬剤を塗り、2〜3時間程度装着します。
継続して行うことで、白さと輝きを取り戻していくのでオフィスホワイトニングに比べ即効性はありません。
しかし、マウスピースと薬剤の持続期間が長いので、オフィスホワイトニングよりもメンテナンス費用を抑えることが可能です。
| 内容 | 料金 |
|---|---|
| デュアルホワイトニング*オフィスホワイトニング1回と ホームホワイトニングセット |
60,500円 |
デュアルホワイトニングとは、オフィスホワイトニングとホームホワイトニングを併用して行っていくホワイトニングの方法です。
それぞれのホワイトニングを単体で行うよりも、ホワイトニング効果の持続や、白さをより追求することができます。
高い効果を得たい方や徹底的に白さにこだわりたい方におすすめのホワイトニング方法です。
| 内容 | 料金 |
|---|---|
| ウォーキングブリーチ | 初回(1歯) 11,000円 2回目以降 (施術対象の歯) 6,600円 |
ウォーキングブリーチは、虫歯や怪我などが原因で神経ののない歯(失活歯)にホワイトニングを行うことです。
通常のオフィスホワイトニングやホームホワイトニングは失活歯には効果がありません。
そのためウォーキングブリーチは神経のない歯だけの歯の色を戻す場合に行う方法で生活歯(正常な神経のある歯)には適用しません。
変色した歯の内側からホワイトニングの薬剤を入れて漂白していき、周りの歯の色に合わせて元の自然な白さを取り戻します。
約1週間ごとに歯の中のお薬の交換(3~4回)をし、繰り返し行うことで白く自然な歯の色に調整していきます。
Flow
ホワイトニング方法や患者様に最適な方法を提案・説明していきます。
虫歯や口内環境を検査し、ホワイトニングが可能か状態を確認します。
その上で最適なホワイトニング方法を検討していきます。
虫歯や着色がある場合は、まず治療やクリーニングをして口内環境を良い状態にしていきます。
ホームホワイトニング・デュアルホワイトニングの場合、マウスピースの作成をします。
ホームホワイトニング・デュアルホワイトニングは3~4週間後にご来院いただきホワイトニング状況を確認いたします。
オフィスホワイトニングは2回セットでの施術をおすすめしています。
Side effects

歯科医院で行う”オフィスホワイトニング”に使用するホワイトニング剤の主成分は、過酸化水素という物質です。
この物質は歯の表面にある保護膜を溶かすので、歯の表面が荒れる原因になります。
もちろん保護膜は溶けてしまっても心配は必要なく、1~2日程度で元に戻ります。
保護膜が回復するまでしみる感じがしたり、着色がつきやすくなります。

ホワイトニング剤の影響で、知覚過敏を起こす場合があります。
薬剤が神経に直接作用するために起こりうることで、オフィスホワイトニングの場合ホームホワイトニングなどに比べ濃度の高い薬剤を使用するので、知覚過敏になる場合もあります。
Question
ホワイトニングは歯の厚みや歯の特徴などもあり一度で白くなるには個人差があります。
歯の状態により効果も違うので、一度で思い通りの白い歯に近づくとも限りません。
数回にわけてホワイトニングを行っていくことで、色ムラや白さの調整していきます。
個人差に左右されますが、一般的に3ヶ月〜半年くらいの持続効果があるといわれています。
オフィスホワイトニングは即効性があるので、色戻りもその分早いと言われており、ホワイトニング効果を持続させるには定期的なメンテナンスも必要です。
ホワイトニングに関して、メンテナンス等を含め、歯科医院できちんと相談することをおすすめします。
薬の影響(抗生物質)で歯の変色が強く出ている方はホワイトニングの効果が出にくいと言われています。
知覚過敏などの症状が出る場合もあるので、施術の際には十分な説明とカウンセリングを行う歯科医院を選ぶのが良いでしょう。
ホワイトニングに関して、以下の方は施術できません。
まず違うのは、歯科医師の診断や歯科衛生士の指導・サポートを受けれる点です。最初に歯科医師がお口を診て、ホワイトニングが問題なくできるお口かを診断し、ホワイトニングを開始したら、しっかり効果が出ているか、適切に安全に使えているか逐次見守ります。
くわえて、使用する薬剤も違います。歯医者さんのホワイトニングでは、過酸化水素(または過酸化尿素)を配合した薬剤を使用します。この薬剤には、歯を本来の色より白くする漂白効果があるのですが、歯科以外では使用が認められておりません。
| 症状について | |
|---|---|
| 主訴 | 前歯の色が気になる |
| 治療期間 | 1週間 |
| 治療費 | 5,500円(税込) |
| 治療内容 | 左上の前歯にウォーキングブリーチ |
| 治療のリスク | 一次的な痛みや違和感 |
| 症状について | |
|---|---|
| 主訴 | 歯をきれいにしたい |
| 治療期間 | 約1か月 |
| 治療費 | 47,300円(税込) |
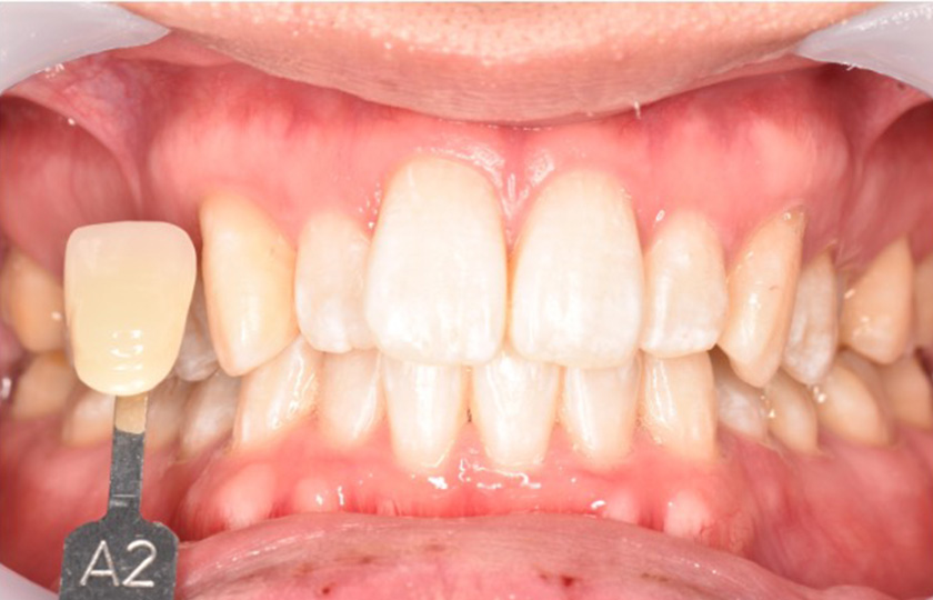
| 治療内容 | 歯石除去後、パウダークリーニングにて着色除去。歯肉の炎症が改善したことを確認して、オフィスホワイトニングを2回 |
| 治療のリスク | 一次的な痛みや違和感 |
| 症状について | |
|---|---|
| 主訴 | 前歯の変色が気になる |
| 治療期間 | 2週間 |
| 治療費 | 17,600円(税込) |
| 治療内容 | 右上の前歯にウォーキングブリーチを2回 |
| 治療のリスク | 一次的な痛みや違和感がある |
| 症状について | |
|---|---|
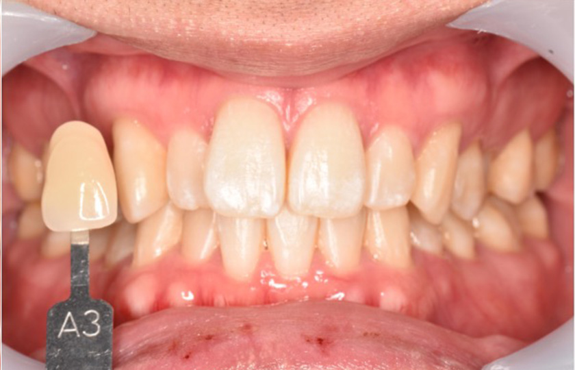
| 主訴 | 歯の色を白くしたい |
| 治療期間 | 2日 |
| 治療費 | 38,500円(税込) |
| 治療内容 | 歯石除去後、EMS(エアフロー)にて着色除去。 ブラッシング指導後、歯肉の炎症が改善したことを確認して、 オフィスホワイトニングを1回 |
| 治療のリスク | 一次的な痛みや違和感がある |