少しでも患者さまにとって
より良い歯科医療を提供するため、
第三者機関に依頼して『親知らず抜歯』の
患者さま満足度調査を行っています。
率直なご意見をいただき、改善すべき点は真摯に受け止めていきたいと思っております。
当院には患者さまの個人情報は一切伝えられませんので、
是非、暖かいお言葉、おしかりのお言葉、たくさんお寄せください。


Case
| 主訴 | 親知らずを抜きたい (親知らず、過剰歯 抜歯) |
|---|---|
| 治療期間 | 約1ヵ月 |
| 治療費 | 1歯 2,000~5,000円 |
| 治療内容 | 左右別日に分けて抜歯を行い縫合し翌日以降に消毒、抜糸を行った。 |
| 治療のリスク | 術後の疼痛、腫脹、痺れ |
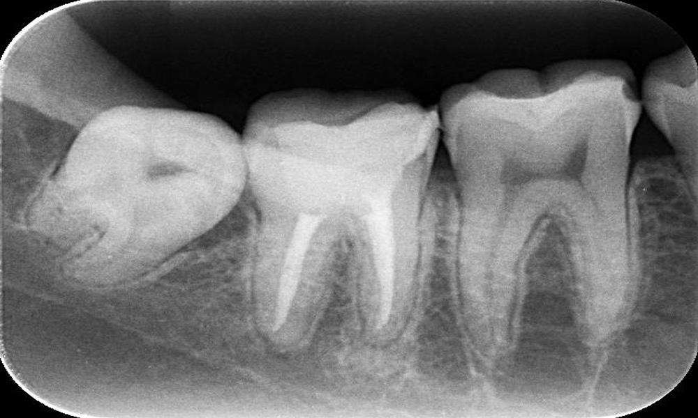
| 主訴 | 親知らずが虫歯になっている |
|---|---|
| 治療期間 | 60分 |
| 治療費 | 1歯 2,000~5,000円 |
| 治療内容 | 上下の親知らずを同日に抜歯を行い縫合し、翌日以降に消毒、抜糸を行った。 |
| 治療のリスク | 術後の疼痛、腫脹、痺れ |
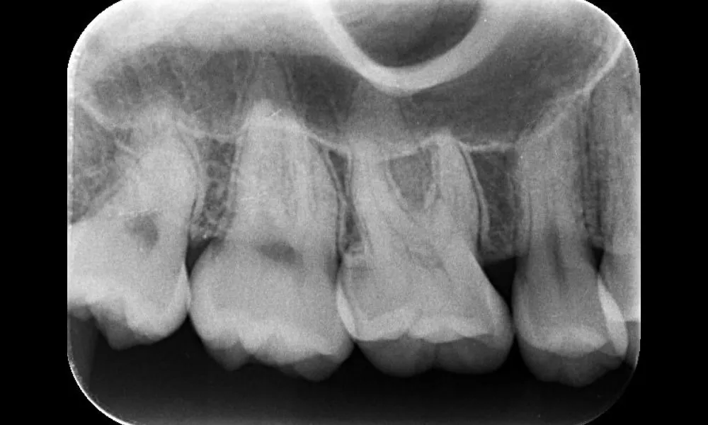
| 主訴 | 親知らずととなりの歯の間に食べかすが詰まって痛い |
|---|---|
| 治療期間 | 30分 |
| 治療費 | 1歯 約5,000円 |
| 治療内容 | 下の親知らずの抜歯を行い縫合し、翌日以降に消毒、抜糸を行った。 |
| 治療のリスク | 術後の疼痛、腫脹、痺れ |
| 主訴 | 親知らずが虫歯になっている |
|---|---|
| 治療期間 | 30分 |
| 治療費 | 1歯 約3,000円 |
| 治療内容 | 下の親知らずの抜歯を行い、翌日以降に消毒を行った。 |
| 治療のリスク | 術後の疼痛、腫脹、痺れ |
| 主訴 | 親知らずが虫歯になっていて痛い |
|---|---|
| 年齢・ 性別 |
20代女性 |
| 治療期間 | 約60分 |
| 治療費 | 1歯 2,000~5,000円 |
| 治療内容 | 上下の親知らずを同日に抜歯を行い縫合し、翌日以降に消毒、抜糸を行った |
| 治療のリスク | 術後の疼痛、腫脹、痺れなど |
| 主訴 | 親知らずの歯茎が時々、腫れて痛い |
|---|---|
| 治療期間 | 15分 |
| 治療費 | 1歯 約3,000円 |
| 治療内容 | 上の親知らずの抜歯を行い、翌日に消毒を行なった |
| 治療のリスク | 術後の疼痛、腫脹など |
| 主訴 | 親知らずがむし歯になっていて、痛い |
|---|---|
| 治療期間 | 15分 |
| 治療費 | 1歯 約3,000円 |
| 治療内容 | 上の親知らずの抜歯を行い、翌日に消毒を行なった |
| 治療のリスク | 術後の疼痛、腫脹など |