少しでも患者さまにとって
より良い歯科医療を提供するため、
第三者機関に依頼して『歯周病治療』の
患者さま満足度調査を行っています。
率直なご意見をいただき、改善すべき点は真摯に受け止めていきたいと思っております。
当院には患者さまの個人情報は一切伝えられませんので、
是非、暖かいお言葉、おしかりのお言葉、たくさんお寄せください。


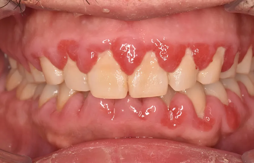
Case
| 症状について | |
|---|---|
| 主訴 | 歯ぐきが腫れて、歯みがき時に出血して痛い |
| 治療期間 | 約3カ月 |
| 治療費 | 保険治療の範囲内 |
| 治療内容 | 口腔衛生指導、スケーリング、ルートプレーニングなどの歯周基本治療を行った。 再評価にて歯周ポケットの深さの減少、炎症の軽減を認められたことにより、歯周安定期治療へ移行。 |
| 治療のリスク | 一次的な痛みや違和感 |