少しでも患者さまにとって
より良い歯科医療を提供するため、
第三者機関に依頼して『審美歯科』の
患者さま満足度調査を行っています。
率直なご意見をいただき、改善すべき点は真摯に受け止めていきたいと思っております。
当院には患者さまの個人情報は一切伝えられませんので、
是非、暖かいお言葉、おしかりのお言葉、たくさんお寄せください。


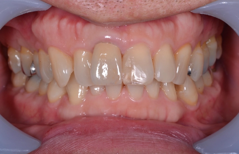
Case

| 主訴 | 下の歯を白くしたい |
|---|---|
| 治療期間 | 約1カ月 |
| 治療費 | 118,000円(税込) |
| 治療内容 | 3か所の銀歯をダイレクトボンディング、1か所の銀歯を セラミックスの詰め物 |
| 治療のリスク | 一次的な痛みや違和感 |

| 主訴 | 下の歯を白くしたい |
|---|---|
| 治療期間 | 約2カ月(根管治療を含む) |
| 治療費 | 163,900円(税込) |
| 治療内容 | 3か所の銀歯をダイレクトボンディング、 1か所の銀歯をセラミックスの詰め物、1か所の銀歯の被せ物をセラミックスの被せ物 |
| 治療のリスク | 一次的な痛みや違和感 |

| 主訴 | 前歯の歯の色を白くしたい、被せ物と歯茎の隙間が気になる |
|---|---|
| 治療期間 | 約3カ月 |
| 治療費 | 239,800円(税込) |
| 治療内容 | デュアルホワイトニング後、1か所の被せ物をジルコニアセラミックス、1か所の2次虫歯にダイレクトボンディング |
| 治療のリスク | 一次的な痛みや違和感強いかみ合わせにより、 稀に割れることがある |

| 主訴 | 前歯の色が気になる |
|---|---|
| 治療期間 | 約2カ月 |
| 治療費 | 252,800円(税込) |
| 治療内容 | ホームホワイトニング後、3か所の前歯にダイレクトボンディング、1か所のレジン前装冠にファイバーポストコア(土台)とオールセラミックスの被せ物 |
| 治療のリスク | 一次的な痛みや違和感強いかみ合わせにより、 稀に割れることがある |

| 主訴 | 前歯の歯の色を白くしたい、被せ物の形が気になる |
|---|---|
| 治療期間 | 約3カ月 |
| 治療費 | 205,700円(税込) |
| 治療内容 | ホームホワイトニング後、1か所のレジン前装冠にファイバーポストコア(土台)とジルコニアセラミックスの被せ物、1か所の2次虫歯にダイレクトボンディング |
| 治療のリスク | 一次的な痛みや違和感 強いかみ合わせにより、稀に割れることがある |

| 主訴 | 前歯がかけた、歯の形を左右あわせたい |
|---|---|
| 治療期間 | 30分 |
| 治療費 | 66,000円(税込) |
| 治療内容 | 歯牙破折部と隣在歯を左右対称に合わせながらダイレクトボンディングにて修復 |
| 治療のリスク | 一次的な痛みや脱離 |

| 主訴 | 前歯がかけた、歯の形を左右あわせたい |
|---|---|
| 治療期間 | 45分 |
| 治療費 | 72,600円(税込) |
| 治療内容 | 診断用ワックスアップを行い、シリコンガイドを作製後、正中離開部を左右対称に合わせながらダイレクトボンディングにて修復 |
| 治療のリスク | 一次的な痛みや脱離 |

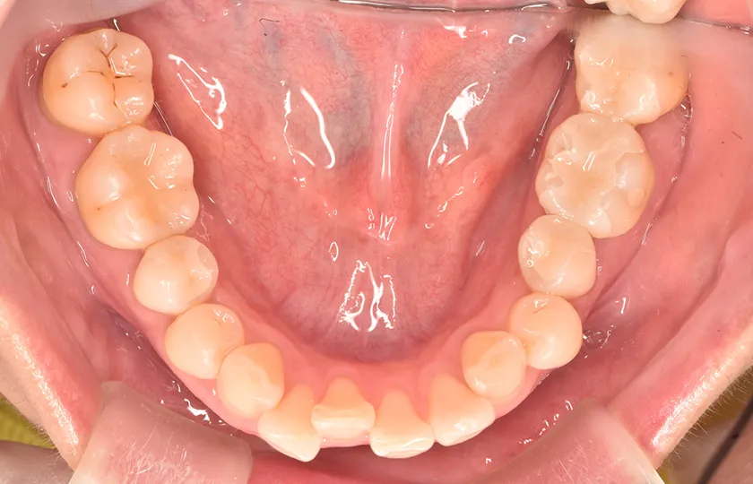
| 主訴 | 下の奥歯の金属が気になる |
|---|---|
| 治療期間 | 30分 |
| 治療費 | 27,500円(税込) |
| 治療内容 | 2か所の銀歯をダイレクトボンディングにて修復 |
| 治療のリスク | 一次的な痛みや脱離 |

| 主訴 | 前歯の黒ずみが気になる |
|---|---|
| 治療期間 | 30分 |
| 治療費 | 33,000円(税込) |
| 治療内容 | 左上の前歯の不適合なコンポジットレジンを除去し、 ダイレクトボンディングにて修復 |
| 治療のリスク | 一次的な痛みや脱離 |

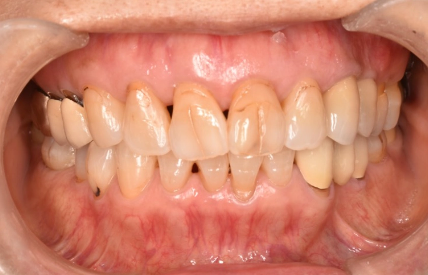
| 主訴 | 前歯の被せ物の形と色が気になる |
|---|---|
| 治療期間 | 約1カ月 |
| 治療費 | 343,200円(税込) |
| 治療内容 | 左上のレジン前装冠除去後、歯肉をトリミングしてポンティックの基底面をオベイト形態にし、ジルコニアセラミックスの2ピースユニットブリッジ、右上の修復物不適合にダイレクトボンディングにて修復 |
| 治療のリスク | 一次的な痛みや違和感、強いかみ合わせにより、稀に割れることがある |
| 主訴 | 前歯の変色が気になる |
|---|---|
| 治療期間 | 2週間 |
| 治療費 | 17,600円(税込) |
| 治療内容 | 右上の前歯にウォーキングブリーチを2回 |
| 治療のリスク | 一次的な痛みや違和感がある |
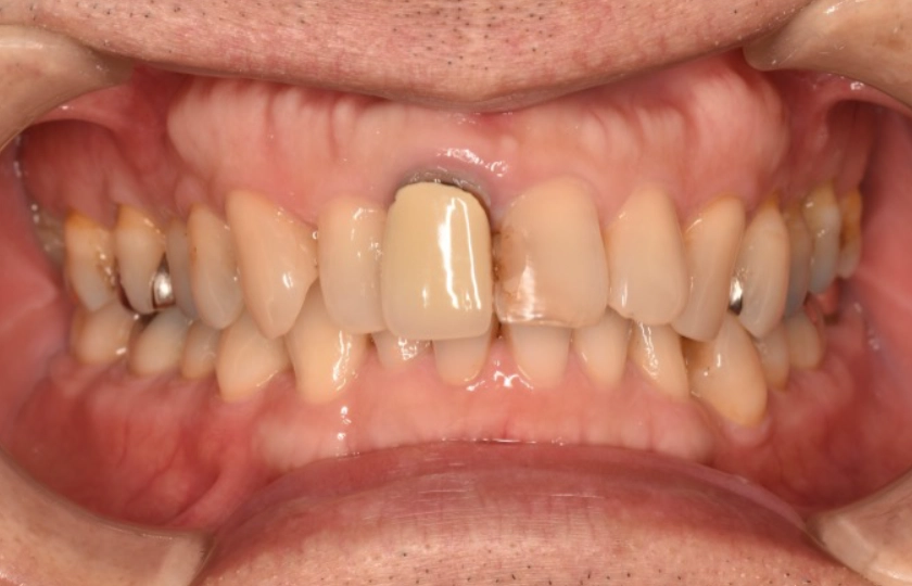
| 主訴 | 左上の歯の色や形が気になる |
|---|---|
| 治療期間 | 約2カ月 |
| 治療費 | 324,500円(税込) |
| 治療内容 | 不適合補綴物を除去し、 ファイバーポストコアを植立後、 ジルコニアセラミックスクラウンにて補綴 |
| 治療のリスク | 一次的な痛みや違和感 強いかみ合わせにより、 稀に欠けたり割れたりすることがある |
| 主訴 | 前歯の向きや形が気になる |
|---|---|
| 治療期間 | 約1カ月 |
| 治療費 | 147,400円(税込) |
| 治療内容 | 右上前歯の不適合補綴物を除去し、 ファイバーポストコアを植立後、 ジルコニアセラミックスクラウンにて補綴 |
| 治療のリスク | 一次的な痛みや違和感 強いかみ合わせにより、 稀に欠けたり割れたりすることがある |
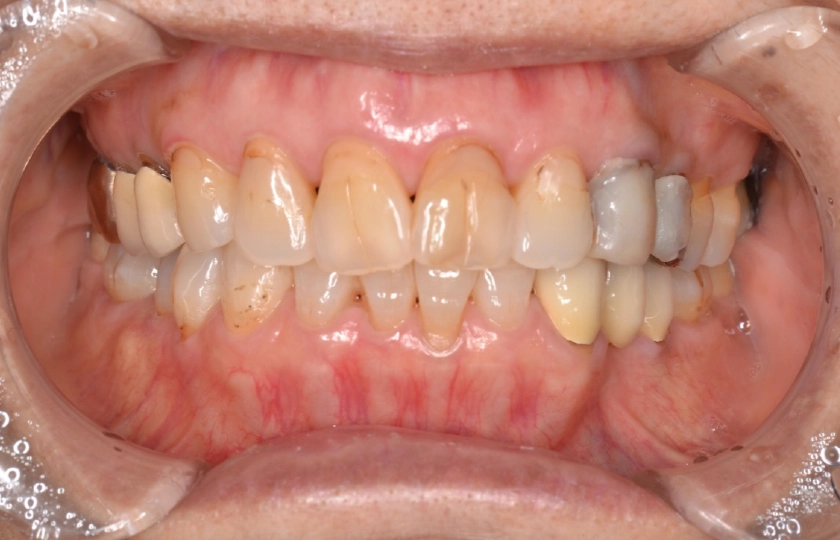
| 主訴 | 銀歯を白くしたい |
|---|---|
| 治療期間 | 約1カ月 |
| 治療費 | 321,200円(税込) |
| 治療内容 | 3か所の銀歯にフルジルコニアの被せ物 |
| 治療のリスク | 一次的な痛みや違和感 強いかみ合わせにより、稀に欠けたり割れたりすることがある |