少しでも患者さまにとって
より良い歯科医療を提供するため、
第三者機関に依頼して『入れ歯』の
患者さま満足度調査を行っています。
率直なご意見をいただき、改善すべき点は真摯に受け止めていきたいと思っております。
当院には患者さまの個人情報は一切伝えられませんので、
是非、暖かいお言葉、おしかりのお言葉、たくさんお寄せください。


Case
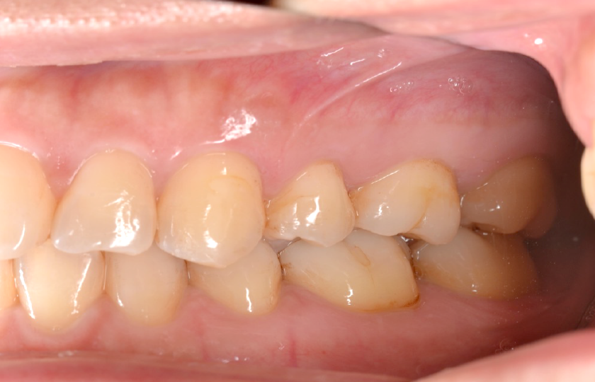
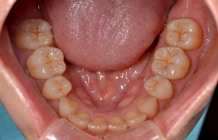
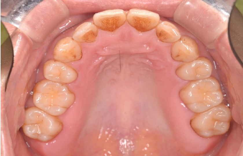
| 症状について | |
|---|---|
| 主訴 | 歯を綺麗にしたい |
| 治療期間 | 1回 |
| 治療費 | 16,500円(税込) |
| 治療内容 | 染出し液でバイオフィルムを可視化し、エアフローにてバイオフィルム、ステイン、早期歯石を除去。残った歯石をピエゾンチップPSにて除去し、歯面パックをした。 |
| 治療のリスク | 一次的な痛みや違和感 |
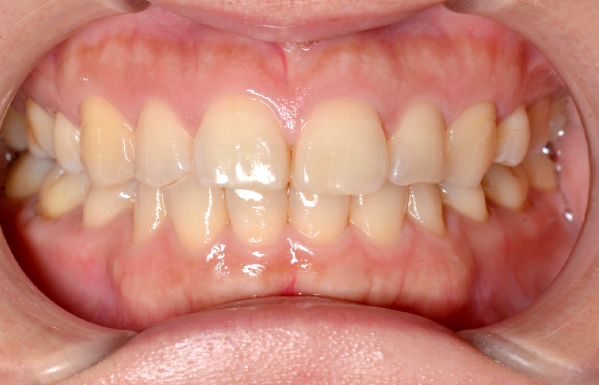
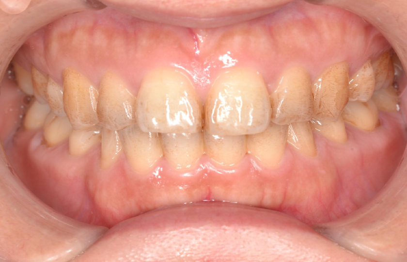
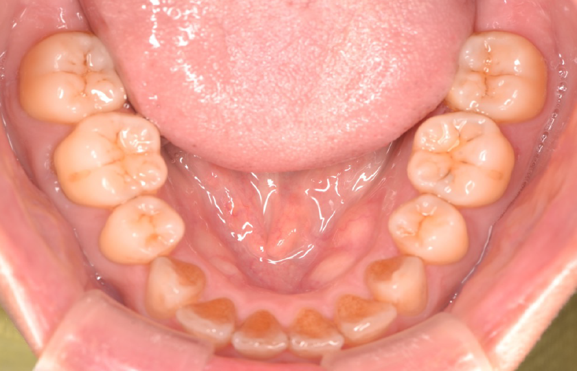
| 症状について | |
|---|---|
| 主訴 | 歯の着色が気になる |
| 治療期間 | 1回(60分) |
| 治療費 | 16,500円(税込) |
| 治療内容 | 染出し液でバイオフィルムを可視化し、エアフローにてバイオフィルム、ステイン、早期歯石を除去。残った歯石をピエゾンチップPSにて除去し、歯面パックをした。 |
| 治療のリスク | 一次的な痛みや違和感 |